04Dic


Es el reemplazo de todos los dientes, puede ser en el maxilar superior como el inferior.

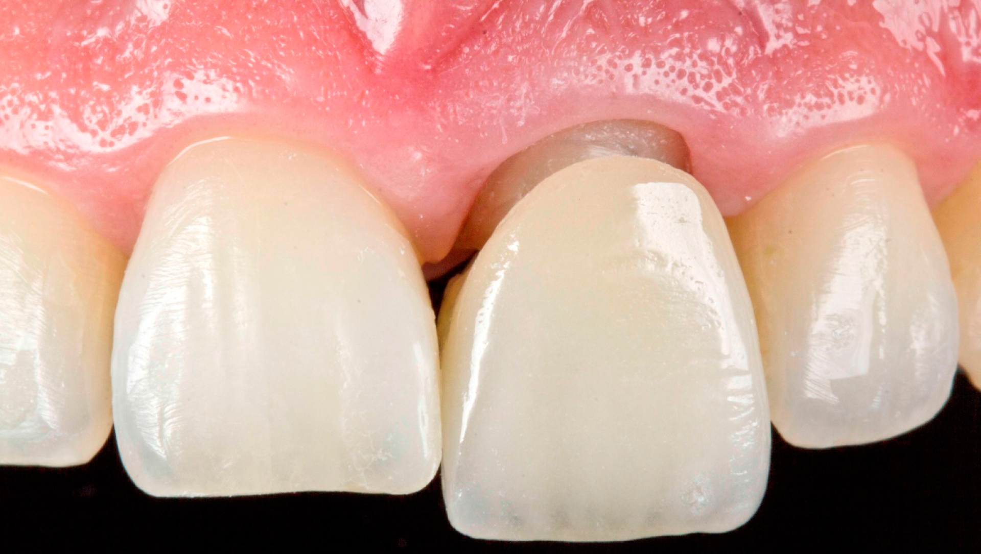
Cubiertas con forma de diente hechas de metal, cerámica o porcelana para restaurar la resistencia, estética y eliminar el malestar. Además, las coronas dentales se pueden utilizar como anclaje de un puente dental o como capuchón de un poste de implante dental.

Prótesis dental que reemplaza uno o más dientes perdidos.
Los puentes fijos son cementados sobre los dientes adyacentes al espacio a reemplazar, estos no son como las dentaduras removibles;
Los puentes fijos no se pueden sacar o retirar de la boca.
Un puente fijo es un aparato que consiste en tres dientes, uno que es el póntico (diente falso a reemplazar) y los otros dos que son las coronas que van cementadas sobre los dientes naturales ya preparados; estos puentes pueden ser de más de tres piezas.

© 2017 - IMPLANTES Y SONRISAS II TODOS LOS DERECHOS RESERVADOS. · POLÍTICAS DE DE PRIVACIDAD